Although they all have one thing in popular, there are numerous types of skin rashes. They cause inflammation and irritation. Some of these rashes aren’t d3adly, but they often cause embarrassment or discomfort to those who deal with them.
Because they are unsimilar types, they have different causes. Therefore, they also expand with different signs and symptoms; and the same treatment isn’t always applied to cure them.
Main types of skin rashes
Skin rashes are resulted by a variety of factors, including heat, infections, allergies, medications, and immune system disorders. For an accurate diagnosis and appropriate treatment, it’s suggested that you meet a specialist.
1. Atopic dermatitis
This is one of the popular causes of skin rashes. This condition manifests itself in
explosion that come and go throughout life.
This often leads to intense itching and redness. Relying on the stage, red patches with blisters, prominent skin folds, and scaling may also appear.
The reason of this condition is anonymous, but studies recommend it most commonly affects people with a family history of seasonal allergies and a genetic predisposition or asthma. Environmental and dietary factors also play a vital role.
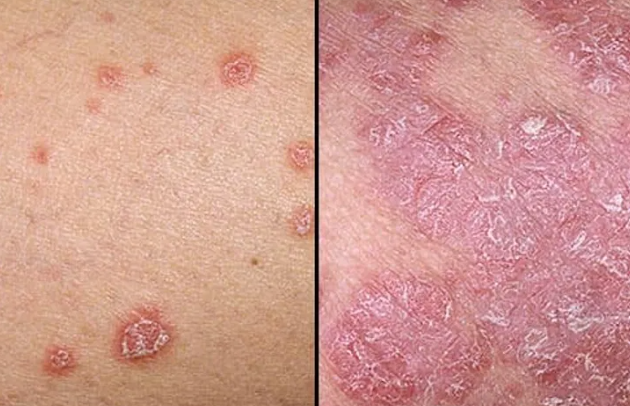
2. Psoriasis
Psoriasis is a chronic inflammatory skin disease with a strong genetic predisposition and autoimmune pathogenic traits. The popularity of this condition is 2% of the world’s population.
The dermatological manifestations of this condition are various. It can show as pruritic, erythematous, and sharply defined plaques covered in scales. The plaques may coalesce and cover large areas of the skin. These are most popular in:
- Trunk.
- Scalp.
- Extensor surfaces of the extremities.
3. Allergic contact dermatitis
This is resulted by direct contact with allergens. Often, only the area that happened to contact with the substance is affected. The most popular allergens are perfumes, costume jewelry, hair dyes, and cosmetics.
The most common symptoms are:
- Skin rash.
- Swelling and itching.
- Discharge of fluid, blisters and scabs.
4. Pityriasis versicolor
This is a skin pigmentation disorder caused by a lipophilic fungus called Malassezia spp. It was typified by well-defined, slightly scaly, variable-color skin lesions.
Studies have confirmed that there is a higher popularity among young people in puberty, especially among women.
5. Seborrheic dermatitis
This is one of the most popular. It is resulted by inflammation of the most superficial layers of skin. It is most commonly seen in areas with a high concentration of sebaceous glands.
Its reason is unknown, but obesity, extreme climates, neurological conditions, and stress are major factors.
Some of its symptoms are:
- Reddened skin.
- Yellow crusts or scales on the face, ears, scalp, or other part of the body.
- Itching and resistant dandruff.






0 Comments